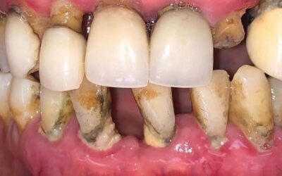
A rossz fog az egész testedet megbetegitheti
A közmondás szerint „a fog az egészség kapuja”, és ez orvosilag is igaz. Egy elhanyagolt, szuvas vagy gyulladt fog nemcsak helyi fájdalmat okoz, hanem gócpontként működve az egész szervezetet megbetegítheti. Íme, milyen hatásai lehetnek a rossz fognak, a közvetlen fájdalomtól a súlyos szervi panaszokig: 1. Közvetlen, helyi szövődmények 2. Góctünetek (A szervezet távolabbi pontjain) A…
